post imagepost imagepost image

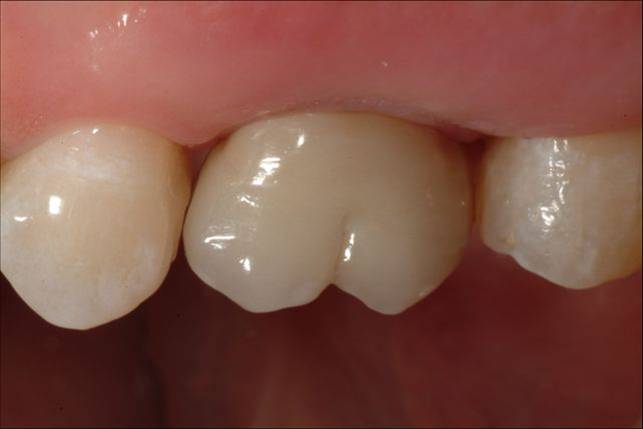
Zirconio

Il zirconio è un materiale alternativo rispetto alla metallo ceramica.
Offre la possibilità di realizzare ponti in ceramica completamente metal-free.
La costante evoluzione di questo materiale, ha dato la possibilità all’odontotecnico di realizzare dispositivi che corrispondono alle aspettative estetiche sia del paziente che dell’odontoiatra.
La realizzazione di queste strutture in zirconio avvengono mediante sistemi CAD/CAM oggi sempre più presenti nei laboratori odontotecnici.
Richiedi Maggiori Informazioni

Prima & Dopo

Passa con il mouse per vedere il prima e il dopo